Thousands of smiles transformed... Your New Smile Awaits
-
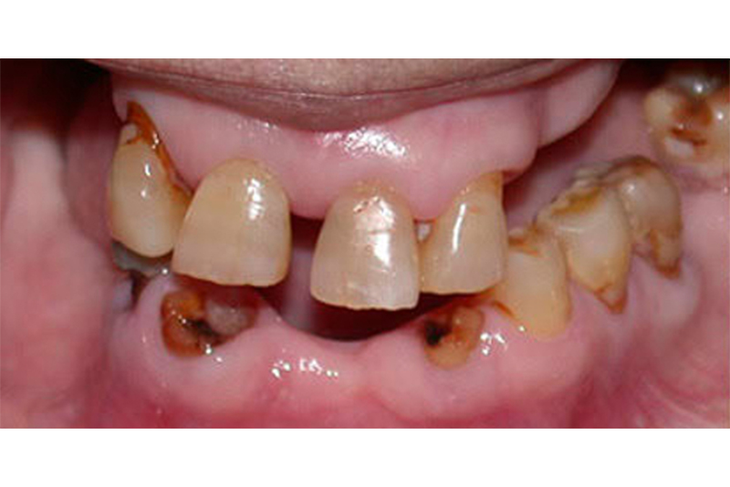
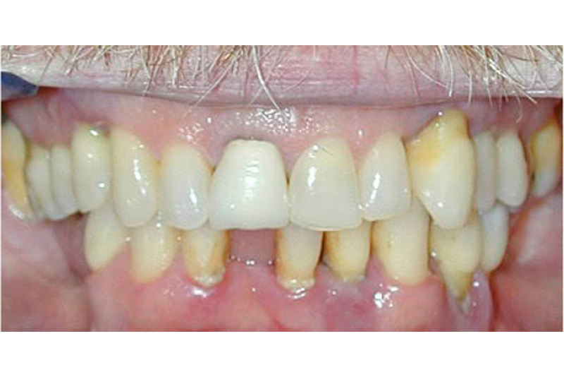
Before
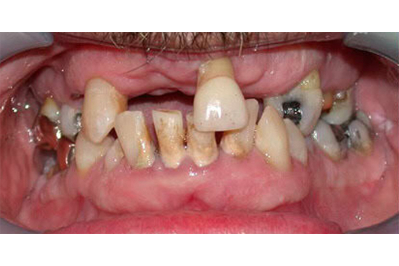
After
-
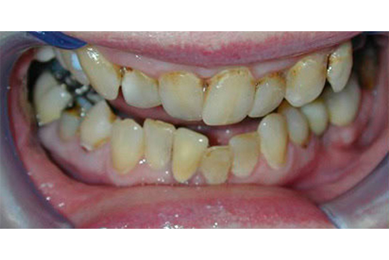
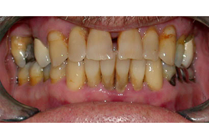
Before
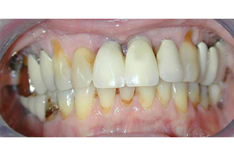
After
-
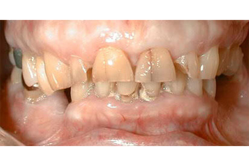
Before
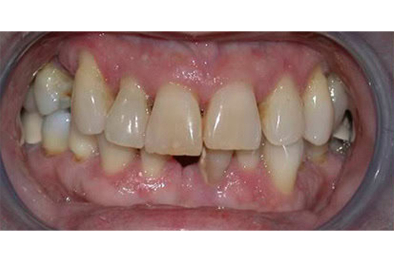
After
-
Before
After
-
Before
After
-
Before
After
-
Before
After
-
Before
After
-
Before
After
-
Before
After
-
Before
After
